Phục hình cố định
Trong nhiều năm trở lại đây, bọc răng sứ Ceramill ZI ZOLID FX đã trở thành sự lựa chọn hàng đầu cho những ai muốn sở hữu một hàm răng hoàn hảo nhưng không kém phần tự nhiên. Như chúng ta đã biết, Ceramill ZI ZOLID FX là dòng răng sứ cao cấp được sản xuất bởi tập đoàn Amnn Girbach Germany. Nếu xét về độ ưu việt, an toàn, răng Ceramill ZI ZOLID FX hoàn toàn có thể đáp ứng được những tiêu chuẩn quốc tế khắt khe nhất. Đặc biệt, với thành phần 100% là Ceramill ZI ZOLID FX Zolid, răng Ceramill ZI ZOLID FX có màu sắc tự nhiên, tương đồng với màu răng thật. Do đó, dòng răng sứ cao cấp Ceramill ZI ZOLID FX sẽ mang đến giá trị thẩm mỹ vô cùng cao. Răng sứ Ceramill ZI ZOLID FX có mấy loại Liệu rằng răng sứ Ceramill ZI ZOLID FX có mấy loại chắc hẳn là sự thắc mắc lớn nhất đối với ai đang muốn tìm hiểu về dòng răng sứ này. Vì được sản xuất hoàn toàn bằng chất liệu Ceramill ZI ZOLID FX Zolid, nên sản phẩm này chỉ có một loại duy nhất trên thị trường. Với những đặc điểm nổi bật về chất liệu hình thành, răng Ceramill ZI ZOLID FX có khả năng phục hình răng và độ bền rất cao so với những dòng răng sứ truyền thống. Đây cũng là một trong những nguyên nhân giúp cho dòng răng sứ cao cấp này được ưa chuộng đến vậy.

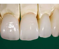
1. Sứ Ceramill ZI ZOLID FX là gì?
Trong nhiều năm trở lại đây, bọc răng sứ Ceramill ZI ZOLID FX đã trở thành sự lựa chọn hàng đầu cho những ai muốn sở hữu một hàm răng hoàn hảo nhưng không kém phần tự nhiên. Như chúng ta đã biết, Ceramill ZI ZOLID FX là dòng răng sứ cao cấp được sản xuất bởi tập đoàn Amnn Girbach Germany.
Nếu xét về độ ưu việt, an toàn, răng Ceramill ZI ZOLID FX hoàn toàn có thể đáp ứng được những tiêu chuẩn quốc tế khắt khe nhất. Đặc biệt, với thành phần 100% là Ceramill ZI ZOLID FX Zolid, răng Ceramill ZI ZOLID FX có màu sắc tự nhiên, tương đồng với màu răng thật. Do đó, dòng răng sứ cao cấp Ceramill ZI ZOLID FX sẽ mang đến giá trị thẩm mỹ vô cùng cao.
Răng sứ Ceramill ZI ZOLID FX có mấy loại
Liệu rằng răng sứ Ceramill ZI ZOLID FX có mấy loại chắc hẳn là sự thắc mắc lớn nhất đối với ai đang muốn tìm hiểu về dòng răng sứ này. Vì được sản xuất hoàn toàn bằng chất liệu Ceramill ZI ZOLID FX Zolid, nên sản phẩm này chỉ có một loại duy nhất trên thị trường.
Với những đặc điểm nổi bật về chất liệu hình thành, răng Ceramill ZI ZOLID FX có khả năng phục hình răng và độ bền rất cao so với những dòng răng sứ truyền thống. Đây cũng là một trong những nguyên nhân giúp cho dòng răng sứ cao cấp này được ưa chuộng đến vậy.
2. Những ưu điểm và nhược điểm của răng sứ Ceramill ZI ZOLID FX:
2.1. Ưu điểm:
Được thiết kế và sản xuất bằng những công nghệ tiên tiến bậc nhất thế giới, do đó răng sứ Ceramill ZI ZOLID FX sở hữu vô số đặc điểm nổi bật mà những dòng răng sứ khác không thể sánh kịp như:
- Độ thẩm mỹ cao là ưu điểm hàng đầu mà chúng ta phải kể đến khi nói về bọc răng sứ Ceramill ZI ZOLID FX. Dòng răng sứ này thường được đánh giá cao bởi độ trắng sáng vô cùng tự nhiên, phản quang tốt, hình dáng răng chuẩn đến từng cm, nhờ vậy nó mang đến vẻ đẹp hoàn mỹ cho người dùng.
- Thành phần răng Ceramill ZI ZOLID FX không chứa kim loại, cực kỳ an toàn cho sức khỏe răng miệng nói riêng.
- Nếu so sánh về độ bền, răng sứ Ceramill ZI ZOLID FX luôn tự hào vì có độ bền gấp 5 lần so với những dòng răng sứ khác và độ chịu lực lên đến 1100 Mpa. Một điều tuyệt vời khác chính là bạn có thể tự do thưởng thức nhiều loại thức ăn yêu thích mà không cần lo đến vấn đề vỡ hay mẻ răng.
- Bọc răng sứ Ceramill ZI ZOLID FX giúp hạn chế tối đa việc phát sinh các bệnh lý về răng miệng như hôi miệng, sâu răng, viêm nướu, ... Bởi độ khít giữa mão răng và răng thật dường như đạt tuyệt đối nên vi khuẩn sẽ khó phát sinh và việc vệ sinh răng miệng càng trở nên dễ dàng hơn.
- Tuổi thọ răng sứ Ceramill ZI ZOLID FX cực kỳ cao, lên đến 30 – 40 năm. Đây thật sự là một con số ấn tượng đúng không nào?
- Răng Ceramill ZI ZOLID FX ra đời và kế thừa mọi ưu điểm nổi bật nhất của các dòng răng sứ trước đây. Không những thế, nó còn góp phần loại bỏ đi những nhược điểm vẫn tồn tại bấy lâu nay.
Ngoài ra, bọc răng sứ Ceramill ZI ZOLID FX còn giúp người dùng có những trải nghiệm nhai thực phẩm và sinh hoạt thoải mái, không bị cộm hay gặp bất cứ khó khăn nào.
2.2. Nhược điểm:
Bởi vì sở hữu quá nhiều ưu điểm là thế, nên nhược điểm duy nhất của dòng răng sứ cao cấp Ceramill ZI ZOLID FX chính là giá. Tùy theo từng phòng khám, mà mức giá này có thể dao động khác nhau trên mỗi răng sứ. Song, việc giá răng sứ Ceramill ZI ZOLID FX tương đối cao là hoàn toàn hợp lý bởi những gì nó mang đến cho người dùng vô cùng tuyệt vời.
Sau khi so sánh về tương quan giữa ưu và nhược điểm, câu trả lời cho câu hỏi bọc răng sứ Ceramill ZI ZOLID FX có tốt không chắc chắn đã rõ.
Với hệ thống trang thiết bị hiện đại được nhập khẩu từ các nước hàng đầu thế giới như Đức, Hoa Kỳ, Pháp cùng đội ngũ Kỹ thuật viên ưu tú, tiện nghi chuẩn 5 sao, Nha khoa Quốc tế KAIYEN cam kết mang đến sự hài lòng tuyệt đối khi lựa chọn dịch vụ bọc răng sứ Ceramill ZI ZOLID FX tại đây.
3. Đối tượng nào nên bọc răng sứ Ceramill ZI ZOLID FX:
Bọc răng sứ Ceramill ZI ZOLID FX được khuyến khích đối với những tình trạng răng như:
- Màu răng không được như ý, răng bị ố vàng hay xỉn màu nên lựa chọn bọc răng sứ Ceramill ZI ZOLID FX
- Răng thưa, răng không đều hoặc khấp khểnh
- Răng sâu nhẹ hay gặp các bệnh lý như viêm tủy răng, viêm quanh cuống
- Răng bị gãy, mẽ khiến bạn cảm thấy tự ti khi cười
- Ngoài ra, bọc răng sứ Ceramill ZI ZOLID FX vẫn được nhiều người ưa thích khi muốn xây dựng vẻ đẹp thẩm mỹ toàn diện cho răng dù không gặp phải bất cứ vấn đề nghiêm trọng nào.
4. Nên bọc răng sứ ở đâu:
7 yếu tố làm nên tên tuổi Tỉnh tháo lắp DENTALLAB - địa chỉ bọc sứ uy tín tại Hà Nội:
Cơ sở vật chất, trang thiết bị hiện đại: 100% máy móc, trang thiết bị và công nghệ được ứng dụng, chuyển giao từ nước ngoài như: Hệ thống X-quang chẩn đoán hình ảnh đa chiều CT Cone Beam; Công nghệ CAD/CAM; Phần mềm thiết nụ cười Smile Design;.... Tất cả dụng cụ được xử lý nghiêm ngặt với quy trình vô trùng khép kín theo tiêu chuẩn Bộ Y tế.
Đội ngũ Kỹ thuật viên chuyên môn cao - giàu kinh nghiệm: Tất cả Kỹ thuật viên đều tốt nghiệp từ chuyên khoa Răng - Hàm - Mặt tại các trường Y, có đầy đủ chứng chỉ hành nghề. Bên cạnh đó là tinh thần học hỏi, tiếp thu kỹ thuật mới nhằm mang đến cho khách hàng một hàm răng Chắc khoẻ - Bền đẹp - Trắng sáng tự nhiên.
Chất lượng răng sứ cao cấp: 100% dòng sứ đều nhập khẩu từ Đức, Mỹ,... với độ bền cao, đảm bảo an toàn như: Emax Press, Nacera đa lớp, Lava Plus, HT Smile, Ceramill,….
Hợp đồng rõ ràng - bảo hành lâu dài: 100% khách hàng khi bọc sứ tại Tỉnh tháo lắp DENTALLAB đều được ký kết hợp đồng rõ ràng và hưởng chính sách bảo hành theo hãng/thương hiệu sứ và theo phòng khám từ 10 - 20 năm tùy dòng sứ.
Ứng dụng công nghệ CAD/CAM hiện đại: Giúp thiết kế răng sứ chính xác, đạt chuẩn, rút ngắn hơn quá trình thực nhưng vẫn đáp ứng được nhu cầu thẩm mỹ hoàn hảo, đảm bảo ăn nhai.
Dịch vụ chăm sóc khách hàng chu đáo: Tổng đài miễn phí 24/7 luôn sẵn sàng giải đáp thắc mắc, đặt lịch hẹn và chăm sóc sau điều trị. Hơn nữa, phòng khám còn sử dụng ứng dụng (Apps) VISMIL độc quyền giúp khách hàng theo dõi được toàn bộ dữ liệu hình ảnh trước - trong và sau điều trị - lịch sử thanh toán - hợp đồng ký kết.
Chi phí hợp lý: Giá bọc sứ luôn được công khai minh bạch trên trang web, cam kết không phát sinh chi phí trong thời gian điều trị. Cùng với đó là nhiều chương trình ưu đãi lớn.
Với những yếu tố trên, Labo Tỉnh tháo lắp DENTALLAB là một trong những địa chỉ tin cậy để khách hàng lựa chọn bọc sứ thẩm mỹ.
Review của khách hàng
Labo Tỉnh tháo lắp nhận được nhiều phản hồi tích cực của khách hàng về dịch vụ bọc sứ tại các cơ sở. Bên cạnh đó khách hàng cũng phản hồi rằng còn chờ đợi lâu nên bạn đọc có thể chủ động đặt hẹn trước nếu có kế hoạch thăm khám tại đây.
Vì tính đặc thù của sản phẩm khách hàng vui lòng cho chúng tôi thông tin.
Chúng tôi sẽ trả lời trong thời gian sớm nhất.
Chúng tôi phấn đấu trở thành nhà cung cấp sản phẩm hàng đầu tại Việt Nam